Cos’è la gengivite? Cause, sintomi e rimedi.

Per gengivite si intende l’infiammazione delle gengive. Essa si verifica comunemente a causa di uno strato di batteri che si accumulano sui denti – chiamato placca; questo tipo è chiamato gengivite indotta da  placca. La gengivite è una tipologia non distruttiva della malattia periodontale. Se non trattata, la gengivite può progredire fino a diventare parodontite, che è più grave e può portare alla perdita dei denti.
Un paziente con gengivite avrà gengive rosse e gonfie che probabilmente sanguinano quando si lavano i denti. Generalmente le gengiviti si risolvono con una buona igiene orale – più lunga e con spazzolature più frequenti, così come con l’uso del filo interdentale. Alcunitrovano che l’utilizzo di un collutorio antisettico, insieme a una corretta spazzolatura dei denti e all’uso del filo interdentale, sia d’aiuto.
Nei casi lievi di gengivite, i pazienti possono anche non sapere di averla perché i sintomi sono lievi. Tuttavia, la condizione deve essere presa sul serio e affrontata immediatamente.

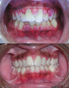
(In Alto) gengivite grave prima del trattamento.
(In basso) dopo pulizia meccanica dei denti e dei circostanti tessuti gengivali

Quali sono i segni e sintomi della gengivite?

Un sintomo è qualcosa che il paziente sente e descrive, come ad esempio le gengive dolorose, mentre un segno è qualcosa che tutti, compreso il medico o l’infermiere possono vedere, come il gonfiore.
Nei casi lievi di gengivite possono esserci nessun disagio o sintomi evidenti.
Segni e sintomi della gengivite possono includere:

  • Gengive sono di colore rosso o viola
  • Le gengive sono morbide e a volte dolorose al tatto
  • Gengive che sanguinano facilmente quando si lavano i denti o si fa uso del filo interdentale
  • Alitosi (alito cattivo)
  • L’infiammazione (gengive gonfie)
  • Gengive che si ritirano

Quali sono le cause di gengivite?

L’accumulo di placca e tartaro
La causa più comune di gengivite è l’accumulo di placca batterica tra e attorno ai denti, che innesca una risposta immunitaria, che a sua volta può portare alla distruzione del tessuto gengivale, ed eventualmente ulteriori complicazioni, compresa la perdita dei denti.
La placca dentale è un biofilm che si accumula naturalmente sui denti. Di solito è formata da colonie di batteri che stanno cercando di aderire alla superficie liscia di un dente. Alcuni esperti dicono che potrebbero aiutare a proteggere la bocca dalla colonizzazione dei microrganismi nocivi. Tuttavia la placca dentale può anche causare la carie e problemi parodontali, quali gengiviti e parodontiti croniche.
Quando la placca non viene rimossa adeguatamente provoca un accumulo di tartaro (colore giallo) alla base dei denti, in prossimità delle gengive. Il tartaro è più difficile da rimuovere e può essere rimosso solo professionalmente.
La gengivite può anche avere altre cause, tra cui:

  • Le variazioni di ormoni – che possono verificarsi durante la pubertà, menopausa, ciclo mestruale e la gravidanza. La gengiva può diventare più sensibile, aumentando il rischio di infiammazione.
  • Alcune malattie – come il cancro, il diabete e HIV sono legati a un rischio più elevato di sviluppare gengiviti.
  • Droga – la salute orale può essere influenzata da alcuni farmaci, soprattutto se il flusso di saliva si riduce. Dilantin (anticonvulsivanti), e alcuni farmaci anti-angina possono anche causare una crescita anormale del tessuto gengivale.ù
  • Fumo – fumatori regolari sviluppano più comunemente gengiviti rispetto ai non fumatori.
  • Storia familiare – gli esperti dicono che le persone i cui genitori hanno avuto la gengivite, hanno un rischio maggiore di svilupparla loro stessi.
    Diagnosi gengivite Un dentista o assegni igienista orale per i sintomi gengiviti, come placca e tartaro nel cavo orale.

La diagnosi della gengivite

Vai da un dentista o un igienista orale per i sintomi gengiviti, come placca e tartaro nel cavo orale. (Puoi prenotare un apputamento presso il nostro istituto chiamando il 075-572-16-47)
Anche il controllo per scoprire segni di parodontite è raccomandato; questo può essere fatto con i raggi-x o con un sondaggio parodontale

Quali sono le opzioni di trattamento per la gengivite?

Se al paziente viene diagnosticata una parodontite nella fase iniziale, e il trattamento è pronto e adeguato, la gengivite può essere invertita con successo.

Cosa può fare il dentista:

  • Placca e tartaro vengono rimossi. Questo è noto come scaling. Alcuni pazienti possono provare disagio, soprattutto se il tartaro accumulato è molto, o se le gengive sono molto sensibili.
  • Il dentista spiega al paziente l’importanza dell’igiene orale, e come spazzolare in modo efficace i denti, così come usare il filo interdentale.
  • Periodicamente rivede il paziente, con ulteriore pulizie se necessario.
  • Aggiustare i denti in modo che l’igiene orale possa essere realizzata efficacemente. Alcuni problemi dentali, come denti storti, corone o ponti realizzati malamente, possono rendere più difficile rimuovere correttamente placca e tartaro (possono anche irritare le gengive).

 Ciò che il paziente può fare a casa:

  • Lavarsi i denti almeno due volte al giorno
  • Tenete a mente che nella maggior parte dei casi, spazzolini da denti elettrici fanno un lavoro migliore di quello che possiamo fare da soli
  • Usare il filo interdentale almeno una volta al giorno
  • Sciacquare la bocca regolarmente con un collutorio antisettico. Chiedete al vostro dentista di raccomandare uno.

Quali sono le possibili complicanze da gengiviti?

Nella grande maggioranza dei casi, se la gengivite viene trattata e il paziente segue le istruzioni del professionista salute dentale, non ci sono complicazioni. Tuttavia, se la condizione è lasciata non trattata, la gengivite può diffondersi e incidere tessuti, denti e ossa, portando alla periodontite.

referti online

Scarica i tuoi referti in pochi minuti

Inserimento dei codici nel portale di ritiro referti.